
갑작스럽게 가슴이 답답하거나 숨이 차면 다양한 원인을 고민하게 됩니다. 그 중 이 질환을 찾아보는 경우도 많은데요.
폐에 문제가 생기면 원인과 증상에 따라 여러 형태로 나눌 수 있습니다.
이번 글에서는 기흉 뜻부터 원인, 기흉 전조증상, 진단, 치료까지 차례로 정리해드릴게요.
기흉 뜻, 무엇을 말하는 걸까?
기흉은 폐 안의 공기가 비정상적으로 폐 밖으로 빠져나가 흉강으로 차면서 발생하는 질환입니다.
흉강은 폐를 둘러싸고 있는 가슴 안쪽 공간으로, 정상 상태에서는 소량의 윤활액만 존재해 폐가 부드럽게 움직일 수 있도록 도와줍니다. 하지만 이 질환이 발생하면 흉강에 공기가 차서 폐를 압박하게 됩니다.
쉽게 말해, 폐가 정상적으로 팽창하지 못하고 주저앉으면서 숨쉬기가 어려워지고 다양한 기흉증상이 나타납니다.
이 때문에 기흉과 폐기흉은 거의 같은 의미로 사용되며, 둘 다 폐에서 흉강으로 공기가 빠져나가는 현상을 뜻합니다. 이 글에서는 폐기흉도 포함하여 통칭해 설명드릴게요.

기흉 원인과 종류 총정리
기흉 원인과 임상 양상에 따라 다음과 같이 구분됩니다.
1. 일차성 자발성
- 특별한 폐질환 없이 발생
- 주로 마른 체형의 10~30대 젊은 남성에게 흔함
- 폐 상부 흉막에 위치한 작은 공기주머니(기포, bleb) 파열로 발생
- 흡연, 키 큰 마른 체형과 연관
- 일부 환자에서 마른기침이 동반되기도 함
2. 이차성 자발성
- 기존 폐질환 환자에게 발생
- 만성폐쇄성폐질환(COPD), 폐기종, 결핵, 폐섬유화증, 악성종양 등 동반
- 고령 환자에서 빈도 높음
- 폐질환이 있으면 가래가 많아질 수 있음
3. 외상성
- 교통사고, 칼에 찔림, 골절 등 외상
- 시술 중 발생 가능
- 인공호흡기 사용 중에도 발생할 수 있음
- 여성의 월경주기와 연관된 희귀 사례도 존재
4. 긴장성
- 흉강 압력이 급격히 상승해 심장과 혈관까지 압박
- 응급상황으로 진행 가능
발생 위험요인
- 흡연
- 유전적 소인
- 과거 병력
- 기압 변화 (비행, 잠수 등)
일반적으로 단독으로 발생할 때는 가래가 거의 없고, 마른 기침 정도가 일부 나타날 수 있습니다. 기존 폐질환이 동반된 경우에는 기침과 가래가 함께 나올 수 있습니다.
기흉증상, 전조증상과 주요 증상
기흉증상은 대부분 갑작스럽게 시작되지만 일부에서는 전조증상이 나타나기도 해요.
전조증상
- 가슴이 묵직하고 답답한 느낌
- 숨 쉴 때 가벼운 흉통
- 운동 시 쉽게 숨참
주요 증상
- 한쪽 가슴의 찌르는 듯한 갑작스러운 흉통
- 호흡곤란, 숨 가쁨
- 빠른 심박수, 어지럼증, 불안감
- 입술과 손톱이 파래지는 청색증
- 체위 변화 시 가슴속 움직임 느낌
경미한 경우 증상을 거의 느끼지 못하고 건강검진에서 발견되기도 합니다.
재발하는 경우에도 대부분 처음 발생했을 때와 비슷한 증상이 나타납니다. 다만 기흉의 크기, 재발 부위, 기존 폐질환 유무 등에 따라 증상의 강도나 체감하는 느낌은 조금씩 다를 수 있습니다.
기흉 진단 방법
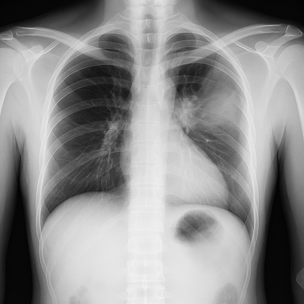
흉부 X-선 촬영이 기본적이고 효과적입니다.
증상과 진찰 소견으로도 진단을 의심할 수 있으며, 필요시 흉부 CT를 시행해 수술 여부 등을 판단합니다.
CT 시행 여부는 전문의 상담을 통해 결정됩니다.
기흉 치료 방법과 경과
치료의 원칙은 흉강 내 공기를 제거하고 폐가 정상적으로 재팽창하도록 돕는 것입니다.
- 상태와 재발 여부에 따라 치료법 결정
- 관찰요법, 산소치료, 흉관 삽입술, 수술 등
- 기존 폐질환이 있으면 치료 기간이 길어질 수 있음
치료 기간
- 보통 1주일 내외
- 심한 경우 수주 소요
재발률
- 최초 발생 후 약 50% 재발
- 2회 이상 재발 시 80~90%까지
- 수술 치료 시 재발률 약 5% 이하
가슴 답답함과 숨찬 증상, 정확한 원인 파악이 중요합니다
지금까지 기흉 뜻과 원인, 기흉증상과 치료 방법까지 한 번에 정리해 봤는데요.
가슴 통증이나 숨 가쁨처럼 흔히 나타나는 증상도 원인에 따라 접근 방법이 다릅니다.
비교적 가벼운 경우도 있지만, 방치하면 악화될 수 있으므로 정확한 진단과 치료가 필요해요.
전조증상을 놓치지 않고 초기에 진단하고 치료하면 대부분 좋은 경과를 기대할 수 있습니다.